
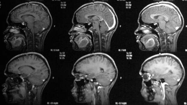
Онколог-хирург, кандидат медицинских наук Михаил Мяснянкин в интервью «Пятому каналу» перечислил наиболее распространённые симптомы рака головного мозга.
Он отметил, что болезнь непросто определить на ранних стадиях из-за бессимптомного течения.
Среди признаков, которые появляются позже, онколог назвал быструю утомляемость, головокружения, тошноту, потерю сознания, судороги, а также ухудшение зрения и слуха.
«Самым распространённым симптомом опухоли головного мозга является головная боль. При поражении органов, отвечающих за вестибулярную функцию, начинают проявляться нарушения письменной речи, звукопроизношения, при речи могут выпадать словосочетания, буквы», — рассказал врач.
Он призвал немедленно обращаться к специалисту в случае появления таких симптомов.
Среди возможных причин возникновения опухоли головного мозга Мяснянкин выделил генетическую предрасположенность, лучевую терапию, метастазы опухолей других локализаций организма, постоянную травматизацию головного мозга и сотрясения.
В октябре медики назвали основными причинами развития рака груди приём гормональных препаратов, курение, чрезмерное употребление алкоголя, воздействие прямых солнечных лучей, посещение солярия, а также генетическую предрасположенность.
Свежие комментарии