
Врачи Российской детской клинической больницы Минздрава России спасли девочку с гигантским новообразованием в грудной клетке. Опухоль размером со страусиное яйцо, сквозь ткань которой проходили и крупные сосуды, смещала аорту, сдавливала сердце и лёгкое, сообщили RT в пресс-службе медицинского учреждения.
Отмечается, что впервые родители пятилетней девочки из Уфы насторожились, когда заметили у неё небольшую припухлость в области шеи.
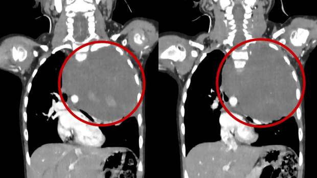
Специалисты по месту жительства выполнили компьютерную томографию, по результатам которой в грудной клетке было выявлено огромное новообразование, распространяющееся на подключичную область и шею.
После телемедицинской консультации ребёнка направили в РДКБ. Повторное обследование подтвердило наличие гигантского новообразования размером 10 на 12 сантиметров, которое занимало 75% плевральной полости.
Опухоль смещала аорту к центру грудной клетки, сдавливала левое лёгкое и сердце. Сквозь плотную ткань опухоли проходили крупные сосуды: позвоночная артерия, питающая головной мозг, и подключичная артерия с её ветвями, питающая левую руку.
Специалисты выполнили биопсию, а по результатам гистологического исследования установили, что новообразование является доброкачественным.
«Независимо от результатов биопсии было принято решение удалить образование единым блоком, поскольку оно могло содержать злокачественные клетки. Учитывая гигантский размер опухоли и её расположение вблизи множества жизненно важных структур, мы использовали расширенный доступ по типу «раковины моллюска».
Он предполагает рассечение не только межрёберного промежутка, но и самой грудины, что позволяет раскрыть грудную клетку, как раковину», — объяснил Евгений Андреев, заведующий отделением реконструктивной и восстановительной хирургии грудной полости РДКБ, кандидат медицинских наук.По его словам, только так врачи смогли получить полный визуальный и инструментальный контроль над аортой и всеми сосудами.
По результатам контрольного гистологического исследования всего объёма опухоли были обнаружены злокачественные клетки и установлен точный диагноз — ганглионейробластома.
Когда девочка полностью восстановилась после операции, она приступила к прохождению курсов химиотерапии по месту жительства.
Сейчас ребёнок чувствует себя хорошо и находится дома вместе с родителями, уточнили в учреждении.
Ранее российские хирурги разработали медицинскую технологию по спасению конечностей, которую медики успешно применяют в зоне СВО.
Свежие комментарии